Олимлар ҳар куни ҳаво орқали қанча пластик ютишимизни аниқлашди
Янги тадқиқот шуни кўрсатдики, инсон бинода кунига 70 000 дан ортиқ пластик микрозаррачаларни нафас орқали қабул қилиши мумкин — бу аввалги баҳолардан анча юқори. Бундан ташқари, ушбу заррачаларнинг а......
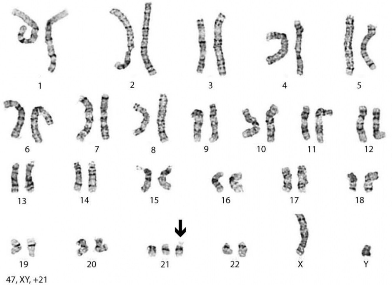
Япониялик олимлар Дауна синдроми билан боғлиқ хромосомани йўқ қилиш усулини яратишди
Дауна синдроми — энг кенг тарқалган хромосомавий аномалия бўлиб, 21-хромосоманинг қўшимча нусхаси (трисомия 21) билан боғлиқ. Бу генетик бузилиш жисмоний хусусиятлар, ривожланишда орқада қолиш, туғма......
So`ngi yangiliklar
Yurak-qon tomir kasalliklarining oldini olishda jismoniy faollikning ahamiyati
Xonqa tumanida tibbiy ko‘rik tashkil qilindi
Xiva tumanida tibbiy ko‘rik tashkil qilindi
Yakka tartibdagi tadbirkorlar va oʻzini oʻzi band qilgan shaxslar uchun qoʻshimcha soliq imtiyozlari berilmoqda
Halol mehnat – xotirjam hayot va farovon jamiyat
Tadbirkor – elga madadkor
Mehnat shartnomasi – ijtimoiy himoyangiz kafolati
Жисмоний фаоллик-узоқ умр гарови
Ko`proq yangiliklar
Xonqa tumanida tibbiy ko‘rik tashkil qilindi
Xiva tumanida tibbiy ko‘rik tashkil qilindi
Yakka tartibdagi tadbirkorlar va oʻzini oʻzi band qilgan shaxslar uchun qoʻshimcha soliq imtiyozlari berilmoqda
Halol mehnat – xotirjam hayot va farovon jamiyat
Tadbirkor – elga madadkor
Mehnat shartnomasi – ijtimoiy himoyangiz kafolati
Жисмоний фаоллик-узоқ умр гарови